bih.button.backtotop.text

ร่องรอยมะเร็งร้าย ผ่านสไลด์แก้วแผ่นบาง

“มะเร็งชนิดเดียวกันเมื่อ 10 ปีที่แล้วกับวันนี้ หน้าตาไม่ได้ต่างไปจากเดิม สิ่งที่แตกต่างคือ ความซับซ้อนและรายละเอียดที่เพิ่มมากขึ้นของผลการตรวจชิ้นเนื้อที่เราต้องรายงาน ซึ่งเป็นข้อมูลสำคัญที่แพทย์ใช้วางแผนการรักษา รวมทั้งขนาดของชิ้นเนื้อที่เราได้มาเพื่อตรวจวินิจฉัยมีขนาดเล็กลงจากการใช้เข็มเล็กๆ ตัดเอาชิ้นเนื้อออกมา ซึ่งมีข้อดีคือลดความเจ็บปวดและผลแทรกซ้อนกับผู้ป่วย แทนที่จะต้องผ่าเอาก้อนทั้งก้อนออกมา ชิ้นเนื้อที่มีปริมาณน้อยและขนาดเล็กทำให้เราทำงานยากขึ้น ท้าทายมากขึ้น เพราะนอกจากต้องวินิจฉัยให้ได้ว่าผู้ป่วยเป็นมะเร็งชนิดอะไร เรายังต้องพยายามเก็บรักษาชิ้นเนื้อเล็กๆ นี้ไว้ กรณีที่จำเป็นต้องตรวจเพิ่มเติม เพื่อช่วยเลือกวิธีการรักษาที่เหมาะสม” หน้าที่สำคัญในการตรวจวินิจฉัยโรคมะเร็งจากชิ้นเนื้อ ของ ผศ.พญ.สมรมาศ กันเงิน  (Assistant Professor Samornmas Kanngurn) พยาธิแพทย์แห่งโรงพยาบาลบำรุงราษฎร์
 

วินิจฉัยสิ่งผิดปกติ ชี้แนวทางเพื่อออกแบบการรักษา


1.jpg

“หน้าที่หลักของพยาธิแพทย์คือ ให้การวินิจฉัยโรคของผู้ป่วยจากการดูชิ้นเนื้อของผู้ป่วยรายนั้นๆ ด้วยกล้องจุลทรรศน์ จากข้อกำหนดมาตรฐานวิชาชีพแพทย์ ชิ้นเนื้อทั้งหมดที่ตัดออกมาจากร่างกายผู้ป่วย ต้องส่งตรวจทางพยาธิวิทยา มียกเว้นแค่บางอย่างเช่น ชิ้นเนื้อต้อลม หรือลิ้นหัวใจเทียม เพราะฉะนั้นชิ้นเนื้อของผู้ป่วยที่เราวินิจฉัยในแต่ละวันจึงมีหลากหลาย ไม่ได้มีเฉพาะมะเร็งเท่านั้น เช่น ผู้ป่วยมีอาการปวดท้องสงสัยไส้ติ่งอักเสบ ถูกตัดไส้ติ่งออกมา เราก็จะช่วยยืนยันว่าผู้ป่วยเป็นไส้ติ่งอักเสบจริงหรือไม่ มีโรคอะไรอย่างอื่นอีกหรือเปล่า เพราะบางครั้งเราก็เจอผู้ป่วยเป็นไส้ติ่งอักเสบจริง แต่มีมะเร็งของไส้ติ่งร่วมด้วย ซึ่งเจอได้แต่ไม่บ่อย หรืออย่างบางครั้ง ผู้ป่วยมาส่องกล้องตรวจลำไส้ใหญ่แล้วเจอติ่งเนื้อ ตัดออกมาส่วนใหญ่ก็เป็นติ่งเนื้องอกไม่ร้ายแรง แต่บางครั้งเราก็เจอมะเร็งลำไส้ระยะแรกที่เกิดอยู่บนติ่งเนื้องอก เลยเป็นเหตุผลว่า ทำไมชิ้นเนื้อที่ตัดออกจากร่างกายผู้ป่วยจึงต้องส่งตรวจทางพยาธิวิทยา ผู้ป่วยคนไหนที่ได้รับการวินิจฉัยว่าเป็นมะเร็ง ก็ต้องบอกว่าคำวินิจฉัยนั้นได้มาจากการตรวจชิ้นเนื้อโดยพยาธิแพทย์ทั้งสิ้น”  
 
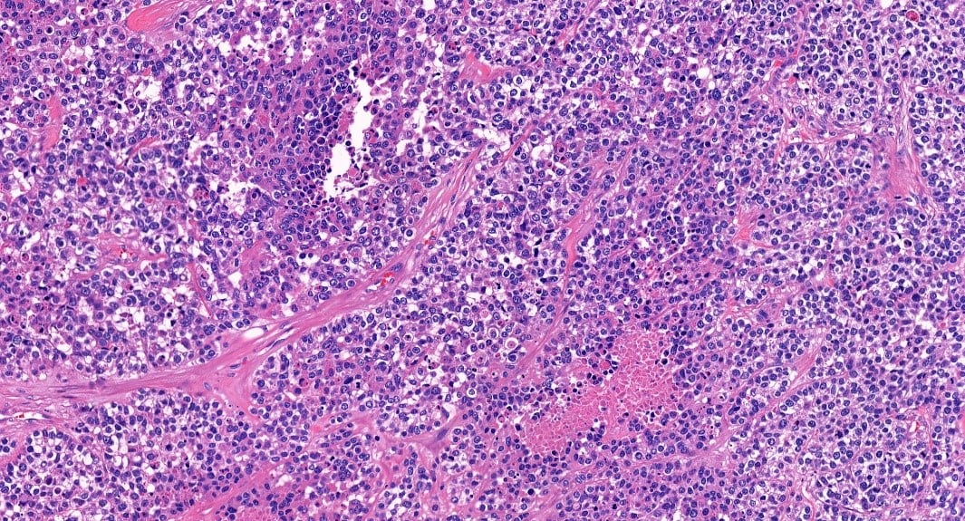
“เมื่อผู้ป่วยตรวจพบก้อนผิดปกติ แพทย์ที่ทำการตรวจรักษาก็มักจะต้องส่งผู้ป่วยไปตัดเอาชิ้นเนื้อออกมาก่อนเพื่อวางแผนการรักษา เช่น ผู้ป่วยที่เจอก้อนในเต้านมจะถูกตัดชิ้นเนื้อออกมาตรวจ โดยใช้เข็มจิ้มเข้าไปตัดชิ้นเนื้อออกมาเป็นชิ้นเล็กๆ ยาวซักประมาณ 1-2 เซนติเมตร  กว้างไม่เกิน 2 มิลลิเมตร แล้วส่งชิ้นเนื้อที่ได้มาให้พยาธิแพทย์วินิจฉัยว่า เป็นเนื้องอกไม่ร้ายแรงหรือเป็นมะเร็ง ซึ่งการผ่าตัดเพื่อรักษานั้นก็จะแตกต่างกัน ผู้ป่วยที่เป็นเนื้องอกไม่ร้ายแรง ก็จะได้รับการผ่าตัดรักษาโดยเอาเฉพาะก้อนออก ซึ่งไม่ยุ่งยากนัก แต่ถ้าเป็นมะเร็งเต้านม การผ่าตัดก็จะซับซ้อนมากขึ้น อาจจะตัดเต้านมทั้งเต้า หรือถ้าไม่ตัดเต้านมทั้งเต้า ก็ต้องตัดให้กว้างกว่าการผ่าตัดก้อนเนื้องอกไม่ร้ายแรง ผู้ป่วยมะเร็งเต้านมยังต้องได้รับการผ่าตัดเลาะต่อมน้ำเหลืองออกด้วย เพื่อดูว่ามะเร็งอยู่ในระยะไหน มีการกระจายของมะเร็งไปที่ต่อมน้ำเหลืองแล้วหรือยัง”


2.jpg


ยิ่งเล็ก ยิ่งยาก ยิ่งต้องใส่ใจ ดูแลอย่างต่อเนื่อง
 

ผศ.พญ.สมรมาศ อธิบายถึงหลักการในการเก็บชิ้นเนื้อเพื่อใช้ในการตรวจวินิจฉัยและรักษาว่า “ชิ้นเนื้อที่ตัดจากผู้ป่วยนั้นมีตั้งแต่ขนาดยาวเป็นเมตร หรือแค่มิลลิเมตรเดียว ชิ้นเนื้อนั้นๆ ก็จะผ่านขั้นตอนต่างๆ จนสามารถตัดออกมาเป็นสไลด์แผ่นบางๆ หนาแค่ 3 ไมครอน ซึ่งพยาธิแพทย์ก็จะส่องดูสไลด์นี้ใต้กล้องจุลทรรศน์เพื่อวินิจฉัยโรคของผู้ป่วย ส่วนชิ้นเนื้อที่เหลือจากทำสไลด์ก็จะเก็บอยู่ใน block paraffin ซึ่งเราจะเก็บไว้เป็นระยะเวลาอย่างน้อย 10 ปีตามมาตรฐาน


3.png

กรณีที่ต้องมีการตรวจเพิ่มเติมบนชิ้นเนื้อ เช่น การย้อมอิมมูโนฮีสโตเคมี หรือการตรวจดูยีนส์โพรไฟล์ของมะเร็ง เราก็สามารถนำเอา block paraffin ของชิ้นเนื้อนั้นๆ มาทำการตรวจใหม่ได้ ดังนั้นถ้าหากเราได้ชิ้นเนื้อเยอะและขนาดใหญ่ เราก็มั่นใจได้ว่า จะมีตัวอย่างเหลือพอที่จะนำไปตรวจได้ แต่ปัญหาที่เจอในปัจจุบันคือ ชิ้นเนื้อที่เราได้มีปริมาณน้อยและขนาดเล็ก แต่ผู้ป่วยจำเป็นต้องได้รับการตรวจหลายอย่าง รวมทั้ง molecular test เพื่อเลือกการรักษาด้วย targeted therapy หรือ immunotherapy หน้าที่ของพยาธิแพทย์ที่เพิ่มเติมเข้ามาก็คือ ต้องช่วยตัดสินใจว่า ชิ้นเนื้อเล็กๆ เหล่านี้ เพียงพอที่จะตรวจต่อหรือไม่ และตรวจอะไรได้บ้าง กรณีที่เรารู้ล่วงหน้าว่า ผู้ป่วยจะถูกตัดชิ้นเนื้อเพื่อส่ง molecular test ก็จะมีการติดต่อประสานงานระหว่างแผนก เพื่อหลีกเลี่ยงไม่ให้ผู้ป่วยต้องถูกเจาะซ้ำเพราะชิ้นเนื้อไม่เพียงพอ หรือบางกรณีที่ไม่แน่ใจว่า จะเจาะชิ้นเนื้อได้เพียงพอหรือไม่ เราก็มีวิธีการตรวจแบบเร่งด่วนในขณะที่แพทย์กำลังทำการเจาะชิ้นเนื้ออยู่ เพื่อประเมินให้ว่าชิ้นเนื้อมีปริมาณเพียงพอหรือไม่”
 

มากกว่าแค่การตรวจวินิจฉัย คือการพัฒนาคุณภาพการดูแลรักษาผู้ป่วย
 

ห้องแลป รวมถึงแผนกพยาธิศัลยกรรม โรงพยาบาลบำรุงราษฎร์ของเรา เป็นโรงพยาบาลเอกชนรายแรกในประเทศไทยที่ได้รับการรับรองมาตรฐานห้องปฏิบัติการสากลของ College of American Pathologists (CAP) เพื่อให้มั่นใจได้ว่า กระบวนการต่างๆ ในห้องปฏิบัติการรวมถึงผลการตรวจมีความถูกต้องและเชื่อถือได้ เรามีการทำงานเป็นทีม อย่างเช่นในแผนกเอง ถ้ามีสไลด์ของผู้ป่วยรายไหนที่ดูยากหรือไม่แน่ใจในคำวินิจฉัย ก็จะมีการปรึกษาพยาธิแพทย์คนอื่นๆ หรือ specialist ที่มีความชำนาญเฉพาะด้านนั้นๆ ช่วยดู รวมทั้งเทคโนโลยีที่จะเข้ามาช่วยในการวินิจฉัย เรากำลังนำเอาระบบ Digital Pathology มาใช้


4.jpg

ซึ่งมีโมดูลที่จะช่วยเราในการประเมินข้อมูลบางอย่างของมะเร็งได้แม่นยำขึ้น เช่น โมดูลช่วยนับเซลล์มะเร็งเต้านม เพื่อเลือกวิธีการรักษาด้วยยาต้านฮอร์โมน เป็นต้น”
 

ข้อสงสัยของผู้ป่วย พยาธิแพทย์ช่วยได้

 
“โดยปกติพยาธิแพทย์เราจะไม่ได้พบผู้ป่วยตัวเป็นๆ เพราะเราวินิจฉัยโรคจากชิ้นเนื้อของเขา แต่ในบางกรณี ผู้ป่วยก็มีคำถามหรือข้อสงสัยเกี่ยวกับรายงานผลการตรวจมะเร็งที่อยากให้พยาธิแพทย์ช่วยอธิบาย โดยส่วนตัวเองตั้งแต่ทำงานที่โรงพยาบาลบำรุงราษฎร์มา มีผู้ป่วยมาขอคำปรึกษาประปราย ซึ่งเราก็สามารถอธิบายและตอบข้อสงสัยในส่วนนี้ได้เพราะเป็นความเชี่ยวชาญของเราอยู่แล้ว ผู้ป่วยก็จะรู้สึกคลายความสงสัยและความกังวลลงไปได้มาก มีญาติผู้ป่วยบางรายที่ปัจจุบันก็ยังส่งข่าวคราวของสมาชิกในครอบครัวที่ป่วยเป็นมะเร็งให้ทราบเป็นระยะๆ”
 

ส่งผ่านกำลังใจ จากหมอที่ป่วยเอง

 
ผศ.พญ.สมรมาศ กล่าวทิ้งท้ายถึงความหวังในการรักษาผู้ป่วยมะเร็ง “จริงๆแล้วตัวเองก็เป็นผู้ป่วยมะเร็งและรักษาที่ศูนย์มะเร็งฮอไรซัน ตอนนี้ก็ผ่านมา 6 ปีแล้ว มาตรวจติดตามตลอด ปฏิบัติตัวตามคำแนะนำของแพทย์อย่างเคร่งครัด ทานยาต้านฮอร์โมนไม่ให้ขาด และรักษาสุขภาพของตนเองให้แข็งแรง คือถ้าไม่บอกก็จะไม่มีใครรู้ว่าเราเป็นมะเร็ง เลยอยากจะบอกผู้ป่วยมะเร็งคนอื่นๆ ว่า อย่าหมดหวัง อย่าคิดว่ามะเร็งคือวาระสุดท้ายของชีวิตแล้ว มันไม่จริงเลย เรายังมีความสุขกับชีวิตได้ เท่าที่ตัวเองได้ตรวจวินิจฉัย รวมทั้งพบเจอกับตัวเองด้วยนั้น ผู้ป่วยหลายคนมีชีวิตอยู่ได้นานแบบมีคุณภาพชีวิตที่ดี ดังนั้นจงยิ้ม สู้ และมีความหวังในใจอยู่เสมอ อย่าหมดหวังในขณะที่ยังมีหวังนะคะ” เธอพูดทิ้งท้ายด้วยรอยยิ้ม

 
รายละเอียดเพิ่มเติม กรุณาติดต่อ:

แก้ไขล่าสุด: 06 เมษายน 2566

แพ็กเกจที่เกี่ยวข้อง

Related Health Blogs