ជំនួយមនុស្សយន្ត da Vinci Surgery ឬ Da Vinci® ការវះកាត់ក្រពេញប្រូស្តាតឬការវះកាត់ប្រូស្តាតដោយមនុស្សយន្ដគឺជាជម្រើសមួយក្នុងចំណោមជម្រើសដែលមានការរាតត្បាតតិចតួចបំផុត។ តាមរយៈម៉ាស៊ីនថតដែលមានភាពលំអិតខ្ពស់ គ្រូពេទ្យវះកាត់មើលឃើញពីរូបភាពចម្ងាយជិតបំផុតបានយ៉ាងច្បាស់លាស់អំពីកន្លែងដែលអាចព្យាបាលបាន។ ដៃមនុស្សយន្តធ្វើត្រាប់តាមដៃនិងចលនាដៃរបស់មនុស្សដែលធ្វើឲ្យគ្រូពេទ្យវះកាត់ធ្វើបានត្រឹមត្រូវនិងងាយស្រួលក្នុងការប្រើប្រាស់។ ការព្យាបាលដែលមានសារៈសំខាន់ដូចគ្នាមួយទៀតគឺការព្យាបាលដោយបង្កប់រ៉ែ ដែលពាក់ព័ន្ធនឹងការដាំធាតុវិទ្យុសកម្មដោយផ្ទាល់ទៅក្នុងដុំសាច់មហារីកតាមរយៈបំពង់តូចមួយ។ ជាលិកាជំងឺមហារីកនឹងទទួលបានវិទ្យុសកម្មក្នុងកម្រិតខ្ពស់ដោយផ្ទាល់ ស្របពេលដែលកាត់បន្ថយកម្រិតវិទ្យុសកម្មទៅនឹងកាយវិភាគសាស្ត្រដែលនៅជុំវិញ។
ក្រពេញប្រូស្តាតគឺជាផ្នែកសំខាន់មួយនៃប្រព័ន្ធបន្តពូជបុរស។ វាមានលក្ខណៈផ្ទាល់ដែលមិនបញ្ឈប់ការរីកលូតលាស់នៅពេលបុរសឈានដល់វ័យពេញវ័យនោះទេ ប៉ុន្តែនៅតែបន្តរីកលូតលាស់ដោយឥតឈប់ឈរ។ ទោះជាយ៉ាងណាក្ដី បញ្ហាអាចកើតឡើងនៅពេលដែលក្រពេញប្រូស្តាតរីកធំខ្លាំង។ ក្នុងករណីមានការពង្រីកក្រពេញប្រូស្តាតដែលងាយស្រួល (ទៅរកការហើមក្រពេញប្រូស្តាត) រោគសញ្ញាមានដូចជាឈឺពោះឬនោមញឹកញាប់ពេកអាចទៅជាការរំខាន។ ប៉ុន្តែប្រសិនបើជំងឺមហារីកក្រពេញប្រូស្តាត- ប្រភេទជំងឺមហារីកដែលប្រទះឃើញច្រើនបំផុតលំដាប់ទី 2 ចំពោះបុរស - បច្ចុប្បន្ននេះជាស្ថានភាពដែលធ្ងន់ធ្ងរឡើង។ ស្ថិតិក៏បានបង្ហាញផងដែរថាជំងឺមហារីកក្រពេញប្រូស្តាតត្រូវបានធ្វើរោគវិនិច្ឆ័យឃើញភាគច្រើននៅក្នុងដំណាក់កាលរីករាលដាលដែលធ្វើឲ្យពិបាកក្នុងការព្យាបាល។
ការធ្វើរោគវិនិច្ឆ័យមានភាពរហ័សនោះ បានរួមចំណែកយ៉ាងច្រើនដល់ការព្យាបាលដែលប្រកបដោយជោគជ័យ។ សមាគមជំងឺមហារីកអាមេរិកណែនាំថាបុរសដែលមានអាយុជាក់លាក់ត្រូវធ្វើតេស្តឈាមរកកម្រិត PSA ជារៀងរាល់ឆ្នាំ។ ដើម្បីយល់កាន់តែច្បាស់អំពីការចាក់ PSA និងលទ្ធផលនៃការធ្វើតេស្ត PSA មានន័យយ៉ាងម៉េចនោះ យើងមកសិក្សាស្វែងយល់តាមជំនាញរបស់លោកវេជ្ជបណ្ឌិត Charuspong Dissaranan គ្រូពេទ្យវះកាត់ជំនាញឯកទេស នៅមជ្ឈមណ្ឌលជំងឺតម្រងនោមនៃមន្ទីរពេទ្យអន្តរជាតិបាំរុងរ៉ាត (Bumrungrad)។
តើអ្វីទៅជាគោលបំណងនៃការពិនិត្យ PSA ហើយតើលទ្ធផលមានន័យដូចម្តេច?
លោកវេជ្ជបណ្ឌិត Charuspong: យើងប្រើការពិនិត្យ PSA ដើម្បីបញ្ចាំងពិនិត្យមើលប្រូតេអ៊ីនដែលអាចបង្ហាញថាមានជំងឺមហារីកក្រពេញប្រូស្តាត។ មហារីកក្រពេញប្រូស្តាតតែងតែមិនបង្ហាញរោគសញ្ញារាងកាយនៅដំណាក់កាលដំបូងនោះទេ ប៉ុន្តែវាច្រើនតែបង្កើនកម្រិត PSA។ ការពិនិត្យ PSA ផ្តល់នូវវិធីសាស្ត្រមិនរាតត្បាតសម្រាប់ការវាស់សូចនាករសំខាន់នៃជំងឺមហារីកក្រពេញប្រូស្តាត។ ទោះយ៉ាងណាក្ដី កម្រិត PSA តែមួយមុខនោះមិនបានកំណត់ថាតើជំងឺមហារីកមានឬអត់នោះទេ។
.png)
តើបុរសគួរទៅពិនិត្យ PSA ញឹកញាប់ប៉ុណ្ណា?
លោកវេជ្ជបណ្ឌិត Charuspong: “ ណែនាំឲ្យបុរសដែលមានអាយុជាង 50 ឆ្នាំឡើងទៅធ្វើតេស្តម្តងក្នុងមួយឆ្នាំ។ ប្រសិនបើលទ្ធផលលើសពីកម្រិតធម្មតា គ្រូពេទ្យរបស់អ្នកអាចណែនាំឲ្យធ្វើការពិនិត្យរៀងរាល់ 6 ខែម្តងដើម្បីជាការតាមដានរាល់ការផ្លាស់ប្តូរដែលអាចកើតមាននិងកាត់បន្ថយជំងឺមហារីកដែលរីករាលដាល”។
តើខ្ញុំគួរធ្វើអ្វីបន្ទាប់ទៀតប្រសិនបើកម្រិត PSA របស់ខ្ញុំខ្ពស់?
លោកវេជ្ជបណ្ឌិត Charuspong: “លទ្ធផលការធ្វើតេស្តជាធម្មតាអាចប្រើបានក្នុងរយៈពេលពីរម៉ោង។ ប្រសិនបើកម្រិត PSA មានកម្រិតខ្ពស់ខ្ញុំប្រហែលជាណែនាំឲ្យថត MRI ដែលស្កេនក្រពេញប្រូស្តាតនិងបរិវេណជុំវិញដើម្បីបង្កើតរូបភាពលម្អិត។ ប្រសិនបើ MRI បញ្ជាក់ពីភាពមិនប្រក្រតីនោះ ជំហានបន្ទាប់ដែលអាចធ្វើបានបំផុតគឺធ្វើកោសល្យវិច័យបញ្ចូលអេឡិចត្រូនិច MRI ដើម្បីទទួលបានសំណាកជាលិការគំរូដែលបន្ទាប់មកនឹងត្រូវធ្វើតេស្តរកវត្តមានរបស់កោសិកាជំងឺមហារីក។
បន្ទាប់ពីទទួលនូវការបញ្ចាំងពិនិត្យ ហើយសំណួរបន្ទាប់គឺត្រូវព្យាបាល។ ជម្រើសនៃការព្យាបាល -ដែលជាញឹកញាប់ទាក់ទងនឹងការព្យាបាលដោយកាំរស្មី ការព្យាបាលដោយប្រើគីមីឬការព្យាបាលដោយអកម៉ូន - ដែលអាស្រ័យលើដំណាក់កាលឬការវិវត្តនៃជំងឺមហារីក។ ប៉ុន្តែនាពេលបច្ចុប្បន្ននេះ ការវះកាត់ដើម្បីយកក្រពេញប្រូស្តាតចេញ (ការវះកាត់ក្រពេញប្រូស្តាត) នៅតែជាវិធីព្យាបាលដែលមានប្រសិទ្ធភាពបំផុតសម្រាប់ជំងឺមហារីកក្រពេញប្រូស្តាត។ បច្ចេកទេសវះកាត់ដែលពេញចិត្តបំផុតទាក់ទងនឹងការវះកាត់ក្រពេញប្រូស្តាតមូលវិដ្ដ។ ជាមួយនឹងវិធីសាស្រ្តនេះវេជ្ជបណ្ឌិតបញ្ចូលកាមេរ៉ាតូចមួយនៅលើបំពង់ស្តើង (កែវយឺត) ហើយធ្វើការវះកាត់ដោយប្រើឧបករណ៍ខ្នាតតូចតាមរយៈរូបភាពដែលបានមើលលើអេក្រង់។ ជាទូទៅអ្នកជំងឺចំណាយពេលប្រហែលជា 3 ថ្ងៃដើម្បីសម្រាកនៅមន្ទីរពេទ្យបន្ទាប់ពីការវះកាត់បែបនេះ។
ប៉ុន្តែបច្ចេកទេសវះកាត់ថ្មីនិងមានប្រសិទ្ធភាពជាងមុនឥឡូវអាចប្រើបាន មនុស្សយន្ដ – ជួយដល់ការវះកាត់ da Vinci Surgery ឬ Robotic Prostatectomy ។ លោកវេជ្ជបណ្ឌិត Teerapon Amornvesukit គ្រូពេទ្យជំនាញឯកទេសនៅមន្ទីរពេទ្យអន្តរជាតិបាំរុងរ៉ាត (Bumrungrad) ជាមួយនឹងបទពិសោធន៍ជាច្រើនឆ្នាំក្នុងការព្យាបាលអ្នកជំងឺមហារីកក្រពេញប្រូស្តាត ពន្យល់ថាការថតរូបភាពរបស់ប្រព័ន្ធ 3D ជួយគ្រូពេទ្យវះកាត់ក្នុងការធ្វើការវះកាត់ដោយភាពជាក់លាក់និងភាពត្រឹមត្រូវខ្ពស់បើប្រៀបធៀបទៅនឹងការវះកាត់ដោយមីក្រូទស្សន៍ប្រហោងបើកចំហរឬមាត្រដ្ឋាន (មិនមែនមនុស្សយន្ដ) ។
តាមរយៈវ៉ែនតាដែលមានភាពលំអិតខ្ពស់នោះ គ្រូពេទ្យវះកាត់មានភាពងាយស្រួលអាចមើលឃើញរូបភាពនៅជិតនិងច្បាស់បំផុតនៅបរិវេណព្យាបាល។ ដៃមនុស្សយន្ត - ដែលផ្ទុកឧបករណ៍វះកាត់ខ្នាតតូច - ធ្វើត្រាប់ចលនាដៃរបស់មនុស្សដែលមានចលនាកាន់តែច្រើនជាងមុន ជួយឲ្យការវះកាត់មានភាពត្រឹមត្រូវនិងងាយស្រួល។ នេះមិនត្រឹមតែមានគុណសម្បត្តិដែលធ្វើឲ្យមានការឈឺចាប់តិចតួចនិងពេលវេលានៃការធូរស្បើយឡើងវិញលឿនជាងមុនទេ ប៉ុន្តែក៏ជួយកាត់បន្ថយឱកាសនៃការអត់នោមឬបញ្ហាងាប់លិង្គក្រោយការវះកាត់ផងដែរ។
ការព្យាបាលដ៏សំខាន់មិនខុសពីគ្នាមួយទៀតគឺការព្យាបាលដោយបង្កប់រ៉ែ ដែលពាក់ព័ន្ធនឹងការដាំធាតុបញ្ចេញកាំរស្មីដោយផ្ទាល់ទៅក្នុងដុំសាច់មហារីកតាមរយៈបំពង់តូចមួយ។ ជាលិកាជំងឺមហារីកនឹងទទួលបានកម្រិតវិទ្យុសកម្មខ្ពស់ដោយផ្ទាល់ស្របពេលដែលកាត់បន្ថយកម្រិតវិទ្យុសកម្មទៅនឹងកាយវិភាគសាស្ត្រដែលនៅជុំវិញ។ លោកវេជ្ជបណ្ឌិត Apichart Panichevaluk អ្នកជំនាញផ្នែកការព្យាបាលតាមវិទ្យុសកម្មនិងការព្យាបាលដោយកាំរស្មីនៅមជ្ឈមណ្ឌលជំងឺមហារីក Horizon ពន្យល់បន្ថែមទៀត:
“ក្នុងអត្រាផ្ដល់ថ្នាំកម្រិតខ្ពស់ (HDR) ការព្យាបាលដោយបង្កប់រ៉ែ យើងបញ្ចូលបំពង់តូចមួយចូលទៅក្នុងក្រពេញប្រូស្តាត ដោយប្រើវិធីការណែនាំរបស់អ៊ុលត្រាសោនដ៏ត្រឹមត្រូវ (TRUS) មុនពេលកម្រិតវិទ្យុសកម្មដែលបានគណនាជាមុនត្រូវបានបញ្ចេញទៅក្នុងជាលិកាជំងឺមហារីក។ នៅពេលដែលបានបញ្ចប់ហើយនោះ ឧបករណ៍នេះត្រូវបានដកចេញដោយមិនបន្សល់ទុកអ្វីទាំងអស់។ ចំណុចល្អគឺកម្រិតវិទ្យុសកម្មអាចត្រូវបានកែតម្រូវជាបន្តបន្ទាប់ នៅខណៈពេលដែលបំពង់នៅតែស្ថិតនៅខាងក្នុងអ្នកជំងឺ។ HDR មានប្រសិទ្ធភាពខ្ពស់ក្នុងការប្រឆាំងនឹងជំងឺមហារីកក្រពេញប្រូស្តាតក្នុងកម្រិតមធ្យមនិងខ្ពស់ដែលមានអត្រាជោគជ័យជាង 90% ចំណែកផលប៉ះពាល់គឺមានតិចបំផុតបើប្រៀបធៀបនឹងវិធីសាស្រ្តផ្សេងទៀត។
“
សម្រាប់ជំងឺមហារីកក្រពេញប្រូស្តាតដែលមានហានិភ័យទាប ការបង្កប់ចូលជាអចិន្រ្តៃយ៍គឺជាជម្រើសការបង្កប់រ៉ែដែលត្រូវការ ។ នៅទីនេះ ប្រភពនៃវិទ្យុសកម្មត្រូវបានបញ្ចូលទៅក្នុងដុំសាច់ជារៀងរហូត។ ប្រភពវិទ្យុសកម្មនេះមានទំហំប៉ុនគ្រាប់ល្ងហើយបញ្ចោញវិទ្យុសកម្មកម្រិតទាបតិចតួចយឺត ៗ រហូតដល់អស់។
ដោយសារប្រភពវិទ្យុសកម្មស្ថិតក្នុងដុំជំងឺមហារីកជាអចិន្រ្តៃយ៍រហូតទាល់តែវិទ្យុសកម្មរលាយបាត់នោះ ការគណនាដ៏ជាក់លាក់ពីកម្រិតវិទ្យុសកម្មពិតជាចាំបាច់ណាស់”។
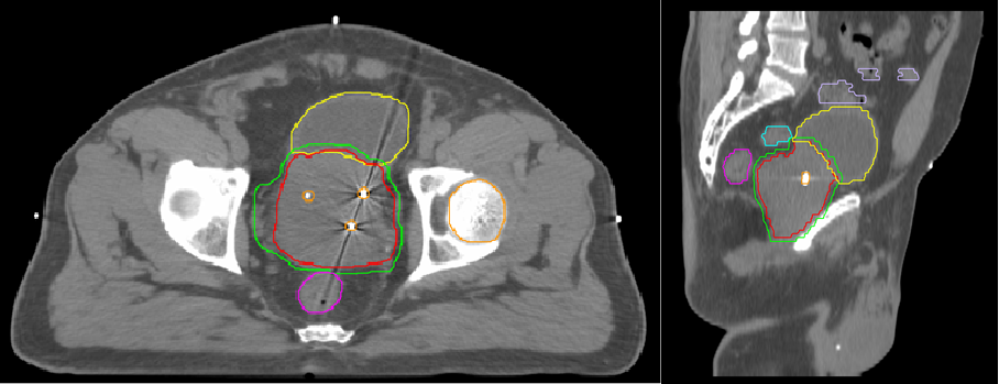
នៅមានជំរើសជាច្រើនទៀត។ ការអភិវឌ្ឍន៍ឲ្យប្រសើរឡើងនៃទម្រង់ការព្យាបាលដោយបាញ់កាំរស្មីពីខាងក្រៅចូលទៅក្នុងរាងកាយសម្រាប់ការព្យាបាលអ្នកជំងឺមហារីកក្រពេញប្រូស្តាតដែលមានហានិភ័យទាបជាង៩០ភាគរយនៃអត្រាព្យាបាល គឺការព្យាបាលដោយប្រើកាំរស្មី(IGRT) ។ ជាដំបូងគឺការដាក់បញ្ចូលជាស្រេចនូវសញ្ញាសំគាល់ទៅក្នុងក្រពេញប្រូស្តាតនូវគ្រាប់មាសតូចៗ3គ្រាប់ បន្ទាប់ពីនោះមកអ្នកជម្ងឺត្រូវបានទទួលនូវបរិមាណកម្រិតកាំរស្មីដោយម៉ាស៊ីនដែលអាចធ្វើការថតស្កែនដោយ CT-scan បាន។ នៅក្នុងរូបភាពដែលបង្ហាញចេញមកនឹងឃើញមាននូវសញ្ញាសំគាល់ទាំង3ចំនុចដែលបានដាក់សម្គាល់ ជួយធ្វើឲ្យលោកគ្រូពេទ្យអាចកំណត់ដុំមហារីកបានកាន់តែច្បាស់។ វិធីនេះជួយកាត់បន្ថយការខូចខាតជាលិកាល្អដែលនៅរុំជុំវិញសាច់មហារីក ថែមទាំងជួយកាត់បន្ថយថេរវេលានៃការព្យាបាលបានច្រើនជាងការព្យាបាលដោយវិធីសាស្ត្រមុនថែមទៀតផង ។
គ្រូពេទ្យនៅមជ្ឈមណ្ឌលជំងឺមហារីកក្នុងតំបន់ Horizon រួមជាមួយមជ្ឈមណ្ឌលតម្រងនោមនិងមជ្ឈមណ្ឌលវះកាត់ដោយមនុស្សយន្ដនឹងពិចារណាលើទំហំ ទីតាំងនិងដំណាក់កាលនៃដុំសាច់ជំងឺមហារីកដែលជាកត្តាកំណត់នៅក្នុងផែនការព្យាបាលអ្នកជំងឺ។ ការទទួលបានព័ត៌មាន យល់ដឹងនិងទទួលការពិនិត្យជាប្រចាំគឺជាវិធីដើម្បីត្រៀមខ្លួនសម្រាប់អ្វីៗ ទាំងអស់។
បច្ចុប្បន្ននេះ ចំណេះដឹងនិងជំនាញរបស់គ្រូពេទ្យឯកទេស គួបផ្សំជាមួយបច្ចេកវិទ្យាទំនើបបំផុត ធ្វើឲ្យជំងឺមហារីកក្រពេញប្រូស្តាតមានលក្ខណៈដែលគួរឲ្យខ្លាចតិចជាងអ្វីដែលធ្លាប់មាន។
For more information please contact:
Last modify: វិច្ឆិកា 28, 2025